El Congreso de los Diputados aprueba una nueva iniciativa que facilita el acceso a pensiones para los trabajadores afectados por la silicosis.
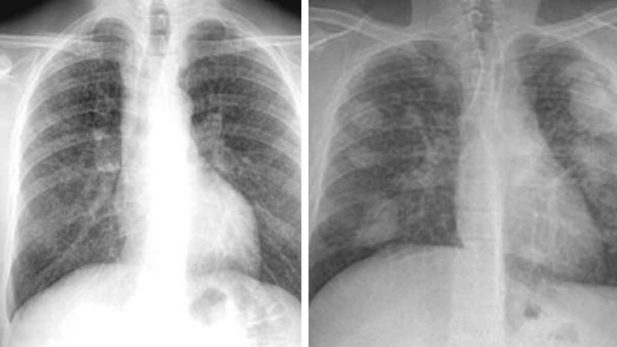
La silicosis, una enfermedad laboral que hasta ahora no garantizaba el derecho a una pensión de incapacidad permanente, ha sido reconocida oficialmente. El Congreso de los Diputados aprobó recientemente una moción que permitirá a los trabajadores afectados por esta dolencia recibir una pensión de incapacidad permanente total, en especial para aquellos con diagnóstico de silicosis de primer grado. Esta medida se enmarca en una propuesta del BNG (Bloque Nacionalista Galego), liderada por el diputado Néstor Rego, que también pide una revisión de los coeficientes reductores para los jubilados del sector de la extracción de piedra, granito y pizarra.
¿Quiénes se benefician de esta nueva medida y qué significa para los afectados?
Los trabajadores expuestos a niveles peligrosos de polvo, como los de la minería y la extracción de piedra, son los principales beneficiarios de esta reforma. La silicosis, una enfermedad pulmonar grave que se desarrolla por la inhalación prolongada de polvo de sílice, afecta principalmente a trabajadores de sectores como la minería exterior, la extracción de granito y pizarra, así como aquellos que trabajan en empresas de transformación de mineral.
Gracias a esta iniciativa, aquellos que sufran de silicosis de primer grado podrán solicitar una pensión por incapacidad permanente total. La medida también extiende este beneficio a empleados de empresas transformadoras de mineral, que ahora tendrán acceso a coeficientes reductores para la edad de jubilación, similar a los que se aplican a los trabajadores de la minería interior.
Los pasos para solicitar una pensión por incapacidad permanente debido a la silicosis
Para aquellos trabajadores que padezcan esta enfermedad, el proceso de solicitud de pensión por incapacidad permanente sigue los siguientes pasos:
| Paso | Descripción |
|---|---|
| Identificación de la actividad laboral | Los trabajadores deben acreditar su actividad en sectores como la extracción y transformación de piedra mediante un código asignado en la Seguridad Social. |
| Diagnóstico médico | Es necesario obtener un diagnóstico médico que confirme la silicosis, especificando el grado de la enfermedad. |
| Solicitud de incapacidad permanente | La solicitud debe presentarse ante el Instituto Nacional de la Seguridad Social (INSS), de manera presencial o electrónica. |
| Requisitos y documentación | Se deben aportar informes médicos, vida laboral y cumplir con los requisitos generales de cotización para acceder a la pensión. |
| Evaluación del caso | El INSS evaluará la solicitud, realizando pruebas si es necesario, y decidirá si procede conceder la pensión. |
¿Qué cambios traerá la reforma sobre los coeficientes reductores?
Además del reconocimiento de la incapacidad permanente por silicosis, esta reforma plantea una revisión de los coeficientes reductores para la jubilación. Actualmente, estos coeficientes favorecen a los trabajadores expuestos a condiciones laborales peligrosas, permitiéndoles acceder a la jubilación anticipada.
Con esta nueva medida, se equiparan los coeficientes reductores de la minería exterior con los de la minería interior. Esto significa que los trabajadores de la extracción de piedra, granito y pizarra, que antes no se beneficiaban de estos coeficientes, ahora podrán acogerse a ellos, adelantando su jubilación en condiciones similares a los de otros sectores mineros.
¿Cómo puede impactar esta reforma en el futuro de los trabajadores afectados?
La aprobación de esta reforma tiene una gran relevancia para los trabajadores que han estado expuestos a riesgos como la inhalación de polvo de sílice, pues garantiza una mayor protección para aquellos que sufren de silicosis. La medida no solo ofrece una solución económica a través de la pensión, sino que también reconoce de forma oficial los daños sufridos por los trabajadores en su entorno laboral.
La nueva iniciativa aprobada por el Congreso de los Diputados es un paso adelante para proteger a los trabajadores que han padecido silicosis a lo largo de su carrera. Gracias a esta reforma, muchos podrán acceder a una pensión de incapacidad permanente y, en el futuro, beneficiarse de coeficientes reductores para la jubilación que les permitirán una mayor estabilidad económica tras años de exposición a condiciones laborales peligrosas.
Lista de requisitos para solicitar la pensión por incapacidad permanente debido a silicosis:
- Diagnóstico médico de silicosis de primer grado o superior.
- Informe de vida laboral que demuestre la actividad en la extracción o transformación de piedra.
- Solicitud presentada ante el INSS, ya sea de forma presencial o electrónica.
- Documentación adicional como informes médicos y pruebas complementarias.
La nueva reforma significa una mayor equidad para los trabajadores que realizan tareas peligrosas en sectores como la minería o la extracción de piedra. Además, garantiza que aquellos que se vean afectados por silicosis puedan acceder a los derechos que antes se les negaban








Y los trabajadores que han trabajado con amianto y tienen reconocida una enfermedad profesional en qué situación estamos
Por favor ¿me podrían indicar en que pleno se realizó este debate y por tanto su aprobación?
Que pasa con los trabajadores de las marmolerías que estuvieron tragando polvo durante años.Trabajando sin equipos de protección.gracias.
Estoy cobrando por incapacidad permanente total por silicosis grado1 y me la han reconocido como una enfermedad común